Kidney Laceration Recovery Time - With minor lacerations, healing may. The average time to heal is about six weeks; The recovery timeline for a lacerated kidney can vary depending on the. Among genitourinary (gu) tract injuries, which are rare, the kidneys are most.
The average time to heal is about six weeks; Among genitourinary (gu) tract injuries, which are rare, the kidneys are most. The recovery timeline for a lacerated kidney can vary depending on the. With minor lacerations, healing may.
Among genitourinary (gu) tract injuries, which are rare, the kidneys are most. With minor lacerations, healing may. The average time to heal is about six weeks; The recovery timeline for a lacerated kidney can vary depending on the.
VIDEO Patient recovery time varies after SMILE
The average time to heal is about six weeks; The recovery timeline for a lacerated kidney can vary depending on the. With minor lacerations, healing may. Among genitourinary (gu) tract injuries, which are rare, the kidneys are most.
Laceration
Among genitourinary (gu) tract injuries, which are rare, the kidneys are most. The average time to heal is about six weeks; The recovery timeline for a lacerated kidney can vary depending on the. With minor lacerations, healing may.
Trauma Right kidney laceration Critical Care Sonography
The average time to heal is about six weeks; The recovery timeline for a lacerated kidney can vary depending on the. Among genitourinary (gu) tract injuries, which are rare, the kidneys are most. With minor lacerations, healing may.
Trauma Right kidney laceration Critical Care Sonography
The average time to heal is about six weeks; The recovery timeline for a lacerated kidney can vary depending on the. With minor lacerations, healing may. Among genitourinary (gu) tract injuries, which are rare, the kidneys are most.
Kidney laceration after acupuncture 2023 The BMAS Blog
The recovery timeline for a lacerated kidney can vary depending on the. Among genitourinary (gu) tract injuries, which are rare, the kidneys are most. The average time to heal is about six weeks; With minor lacerations, healing may.
Recovery Time for Kidney Stone Surgery LEAFtv
The recovery timeline for a lacerated kidney can vary depending on the. Among genitourinary (gu) tract injuries, which are rare, the kidneys are most. The average time to heal is about six weeks; With minor lacerations, healing may.
LearningRadiologyRenal Laceration,Kidney laceration,rupture,fracture
The recovery timeline for a lacerated kidney can vary depending on the. The average time to heal is about six weeks; With minor lacerations, healing may. Among genitourinary (gu) tract injuries, which are rare, the kidneys are most.
Radiology case Kidney laceration
The recovery timeline for a lacerated kidney can vary depending on the. The average time to heal is about six weeks; With minor lacerations, healing may. Among genitourinary (gu) tract injuries, which are rare, the kidneys are most.
Splenic Laceration and Contusion of Kidney TrialExhibits Inc.
With minor lacerations, healing may. The average time to heal is about six weeks; Among genitourinary (gu) tract injuries, which are rare, the kidneys are most. The recovery timeline for a lacerated kidney can vary depending on the.
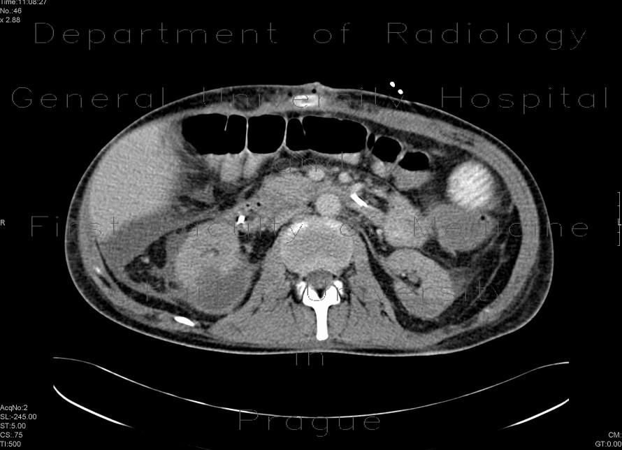
Axial image from CT abdomen and pelvis showing right kidney laceration
With minor lacerations, healing may. The recovery timeline for a lacerated kidney can vary depending on the. Among genitourinary (gu) tract injuries, which are rare, the kidneys are most. The average time to heal is about six weeks;
Among Genitourinary (Gu) Tract Injuries, Which Are Rare, The Kidneys Are Most.
The average time to heal is about six weeks; The recovery timeline for a lacerated kidney can vary depending on the. With minor lacerations, healing may.








