Radius Break Recovery Time - Healing times may vary, but on average total healing can take 12 weeks. Typically ranges from 6 to 8 weeks for most fractures; If your pain is still not settling after 4 weeks, please see your gp for. Understanding how long does a broken radius take to heal?
Healing times may vary, but on average total healing can take 12 weeks. Understanding how long does a broken radius take to heal? If your pain is still not settling after 4 weeks, please see your gp for. Typically ranges from 6 to 8 weeks for most fractures;
If your pain is still not settling after 4 weeks, please see your gp for. Healing times may vary, but on average total healing can take 12 weeks. Typically ranges from 6 to 8 weeks for most fractures; Understanding how long does a broken radius take to heal?
Buckle Fracture Raleigh Hand Surgery — Joseph J. Schreiber, MD
Healing times may vary, but on average total healing can take 12 weeks. Understanding how long does a broken radius take to heal? If your pain is still not settling after 4 weeks, please see your gp for. Typically ranges from 6 to 8 weeks for most fractures;
Distal Radius Fracture
Understanding how long does a broken radius take to heal? If your pain is still not settling after 4 weeks, please see your gp for. Healing times may vary, but on average total healing can take 12 weeks. Typically ranges from 6 to 8 weeks for most fractures;
Distal Radius Fractures SimcoeMuskoka Orthopaedics
Typically ranges from 6 to 8 weeks for most fractures; Understanding how long does a broken radius take to heal? Healing times may vary, but on average total healing can take 12 weeks. If your pain is still not settling after 4 weeks, please see your gp for.
What Is a Distal Radius Fracture? Youssra Marjoua, M.D. Baltimore, MD
Healing times may vary, but on average total healing can take 12 weeks. Understanding how long does a broken radius take to heal? Typically ranges from 6 to 8 weeks for most fractures; If your pain is still not settling after 4 weeks, please see your gp for.
Distal Radius Fracture Raleigh Hand Surgery — Joseph J. Schreiber, MD
Understanding how long does a broken radius take to heal? If your pain is still not settling after 4 weeks, please see your gp for. Healing times may vary, but on average total healing can take 12 weeks. Typically ranges from 6 to 8 weeks for most fractures;
Distal Radius Fracture Signs, Symptoms, Causes, And, 46 OFF
Typically ranges from 6 to 8 weeks for most fractures; Understanding how long does a broken radius take to heal? If your pain is still not settling after 4 weeks, please see your gp for. Healing times may vary, but on average total healing can take 12 weeks.
Buckle Fracture Raleigh Hand Surgery — Joseph J. Schreiber, MD
Healing times may vary, but on average total healing can take 12 weeks. If your pain is still not settling after 4 weeks, please see your gp for. Understanding how long does a broken radius take to heal? Typically ranges from 6 to 8 weeks for most fractures;
Radius Fracture Recovery & Healing Time (+Tips)
Understanding how long does a broken radius take to heal? If your pain is still not settling after 4 weeks, please see your gp for. Healing times may vary, but on average total healing can take 12 weeks. Typically ranges from 6 to 8 weeks for most fractures;
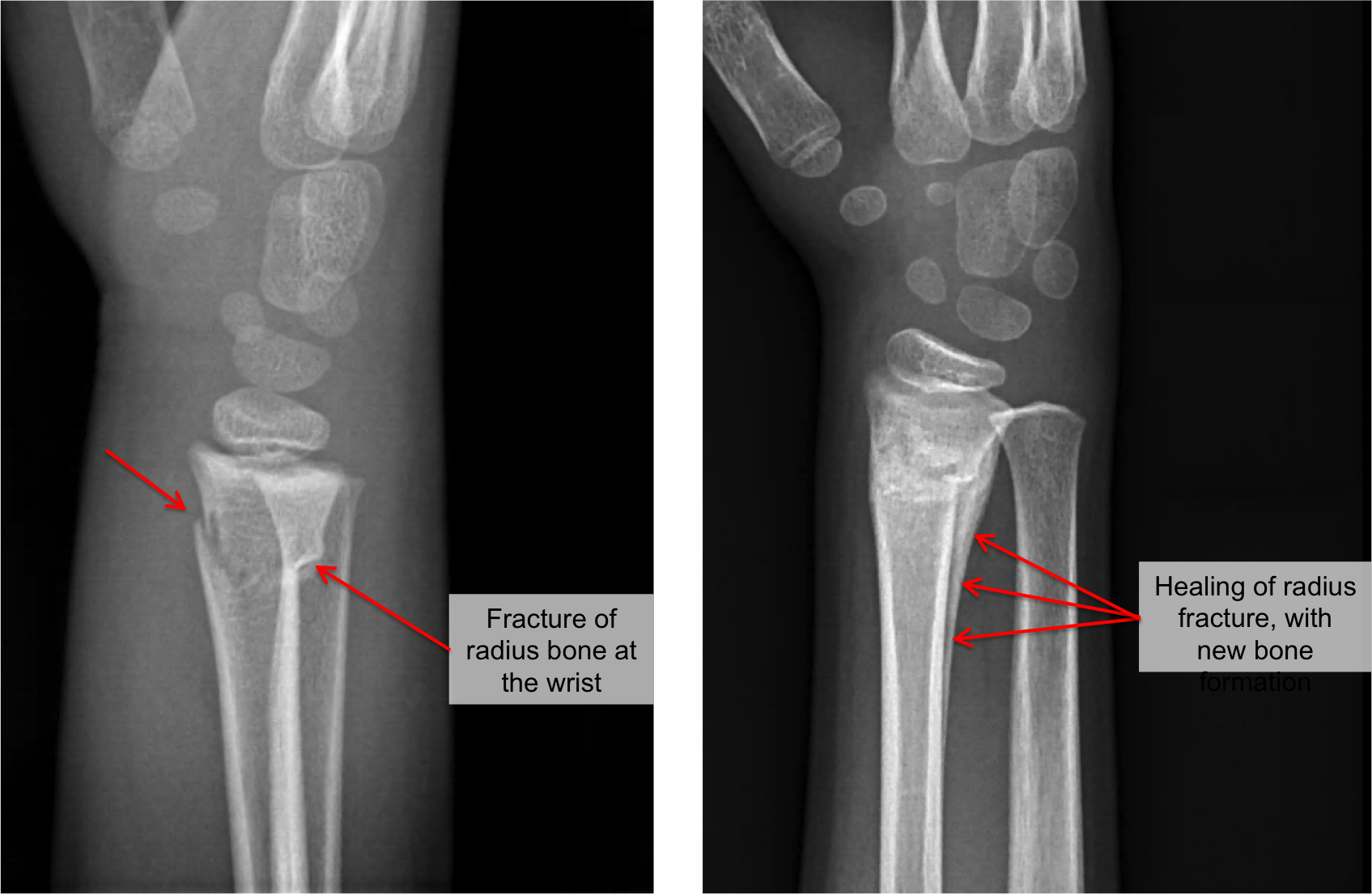
Distal radius break before and 10 weeks post op, full range of motion
If your pain is still not settling after 4 weeks, please see your gp for. Typically ranges from 6 to 8 weeks for most fractures; Understanding how long does a broken radius take to heal? Healing times may vary, but on average total healing can take 12 weeks.
Distal radius break before and 10 weeks post op, full range of motion
Typically ranges from 6 to 8 weeks for most fractures; Healing times may vary, but on average total healing can take 12 weeks. If your pain is still not settling after 4 weeks, please see your gp for. Understanding how long does a broken radius take to heal?
Typically Ranges From 6 To 8 Weeks For Most Fractures;
Healing times may vary, but on average total healing can take 12 weeks. Understanding how long does a broken radius take to heal? If your pain is still not settling after 4 weeks, please see your gp for.






