Scaphoid Recovery Time - Most people need around three months to recover from a scaphoid fracture. Your scaphoid has three parts, all three of which can be broken.
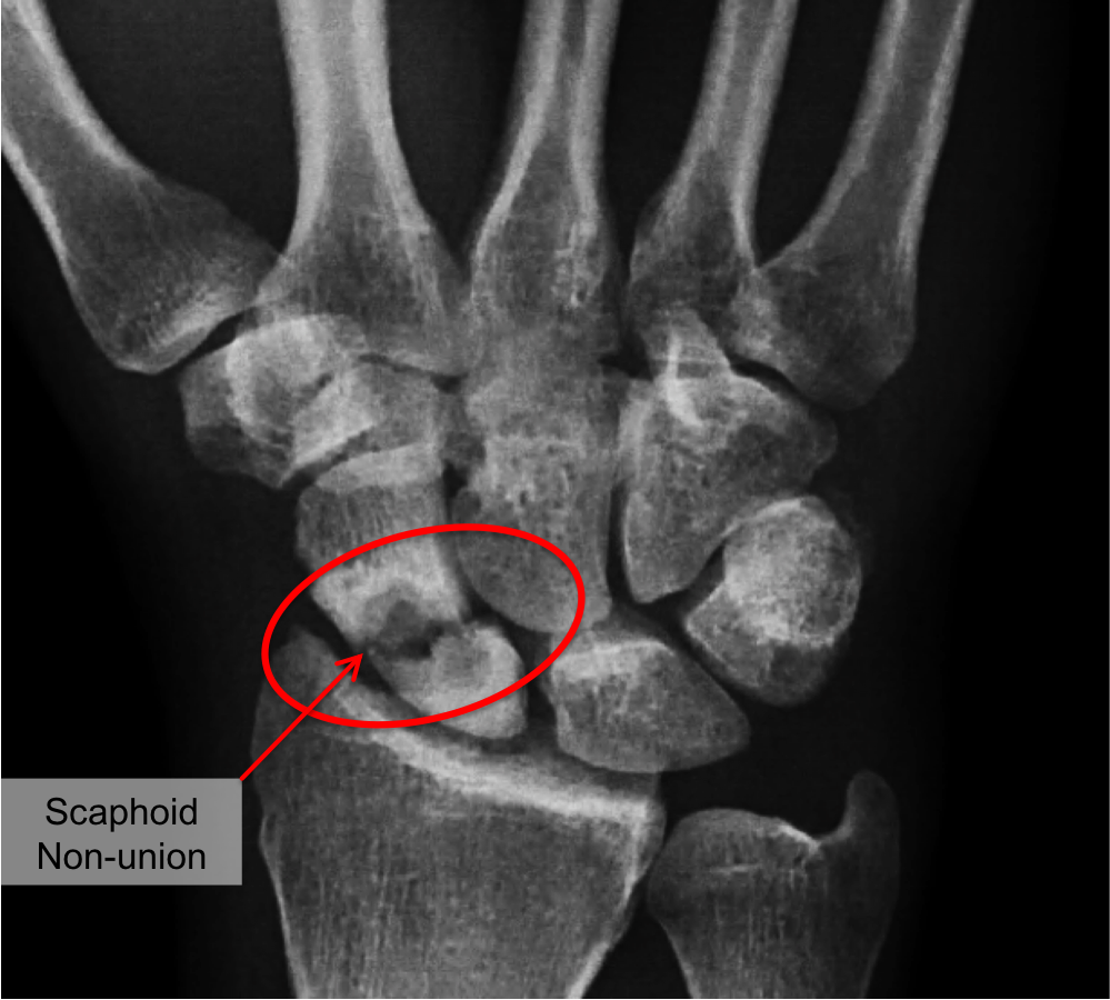
Most people need around three months to recover from a scaphoid fracture. Your scaphoid has three parts, all three of which can be broken.
Most people need around three months to recover from a scaphoid fracture. Your scaphoid has three parts, all three of which can be broken.
Scaphoid Fracture Raleigh Hand Surgery — Joseph J. Schreiber, MD
Your scaphoid has three parts, all three of which can be broken. Most people need around three months to recover from a scaphoid fracture.
Scaphoid Fractures Core EM
Your scaphoid has three parts, all three of which can be broken. Most people need around three months to recover from a scaphoid fracture.
Scaphoid Fracture Raleigh Hand Surgery — Joseph J. Schreiber, MD
Most people need around three months to recover from a scaphoid fracture. Your scaphoid has three parts, all three of which can be broken.
Scaphoid recovery status? r/Orthopedics
Most people need around three months to recover from a scaphoid fracture. Your scaphoid has three parts, all three of which can be broken.
What is the Recovery Time for a Scaphoid Fracture?
Most people need around three months to recover from a scaphoid fracture. Your scaphoid has three parts, all three of which can be broken.
scaphoid —
Most people need around three months to recover from a scaphoid fracture. Your scaphoid has three parts, all three of which can be broken.
Scaphoid Fracture Raleigh Hand Surgery — Joseph J. Schreiber, MD
Most people need around three months to recover from a scaphoid fracture. Your scaphoid has three parts, all three of which can be broken.
What is the Recovery Time for a Scaphoid Fracture?
Most people need around three months to recover from a scaphoid fracture. Your scaphoid has three parts, all three of which can be broken.
Scaphoid Fracture Raleigh Hand Surgery — Joseph J. Schreiber, MD
Most people need around three months to recover from a scaphoid fracture. Your scaphoid has three parts, all three of which can be broken.
Most People Need Around Three Months To Recover From A Scaphoid Fracture.
Your scaphoid has three parts, all three of which can be broken.





