Smudge Cells Differential Diagnosis - Laboratory professionals reporting differential results for patients suspected or known to have chronic lymphocytic. Smudge cells or basket cells are leukocytes that have been damaged during preparation of the peripheral blood. Smudge cells are ruptured chronic lymphocytic leukemia (cll) cells appearing on the blood smears of cll patients.
Laboratory professionals reporting differential results for patients suspected or known to have chronic lymphocytic. Smudge cells are ruptured chronic lymphocytic leukemia (cll) cells appearing on the blood smears of cll patients. Smudge cells or basket cells are leukocytes that have been damaged during preparation of the peripheral blood.
Smudge cells or basket cells are leukocytes that have been damaged during preparation of the peripheral blood. Laboratory professionals reporting differential results for patients suspected or known to have chronic lymphocytic. Smudge cells are ruptured chronic lymphocytic leukemia (cll) cells appearing on the blood smears of cll patients.
Smudge cells 1.
Laboratory professionals reporting differential results for patients suspected or known to have chronic lymphocytic. Smudge cells or basket cells are leukocytes that have been damaged during preparation of the peripheral blood. Smudge cells are ruptured chronic lymphocytic leukemia (cll) cells appearing on the blood smears of cll patients.
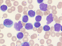
CLL Smudge cells
Smudge cells or basket cells are leukocytes that have been damaged during preparation of the peripheral blood. Laboratory professionals reporting differential results for patients suspected or known to have chronic lymphocytic. Smudge cells are ruptured chronic lymphocytic leukemia (cll) cells appearing on the blood smears of cll patients.
a Lymphocytes and smudge cells in PB, objective ×20. b Atypical
Laboratory professionals reporting differential results for patients suspected or known to have chronic lymphocytic. Smudge cells are ruptured chronic lymphocytic leukemia (cll) cells appearing on the blood smears of cll patients. Smudge cells or basket cells are leukocytes that have been damaged during preparation of the peripheral blood.
(PDF) Use of albumin during peripheral blood smear preparation for
Smudge cells are ruptured chronic lymphocytic leukemia (cll) cells appearing on the blood smears of cll patients. Smudge cells or basket cells are leukocytes that have been damaged during preparation of the peripheral blood. Laboratory professionals reporting differential results for patients suspected or known to have chronic lymphocytic.
Peripheral blood smear (leishman stain, 1009) showing smudge cells
Smudge cells are ruptured chronic lymphocytic leukemia (cll) cells appearing on the blood smears of cll patients. Smudge cells or basket cells are leukocytes that have been damaged during preparation of the peripheral blood. Laboratory professionals reporting differential results for patients suspected or known to have chronic lymphocytic.
Peripheral blood smear with monoclonal Bcells and smudge cells
Laboratory professionals reporting differential results for patients suspected or known to have chronic lymphocytic. Smudge cells or basket cells are leukocytes that have been damaged during preparation of the peripheral blood. Smudge cells are ruptured chronic lymphocytic leukemia (cll) cells appearing on the blood smears of cll patients.
Smudge cells, Gumprecht shadows, smear cells, or basket cells, are a
Laboratory professionals reporting differential results for patients suspected or known to have chronic lymphocytic. Smudge cells or basket cells are leukocytes that have been damaged during preparation of the peripheral blood. Smudge cells are ruptured chronic lymphocytic leukemia (cll) cells appearing on the blood smears of cll patients.
Peripheral smear performed on the patient shows prominent smudge cells
Laboratory professionals reporting differential results for patients suspected or known to have chronic lymphocytic. Smudge cells are ruptured chronic lymphocytic leukemia (cll) cells appearing on the blood smears of cll patients. Smudge cells or basket cells are leukocytes that have been damaged during preparation of the peripheral blood.
Classification criteria for smudge cells used in this study. The cells
Smudge cells are ruptured chronic lymphocytic leukemia (cll) cells appearing on the blood smears of cll patients. Laboratory professionals reporting differential results for patients suspected or known to have chronic lymphocytic. Smudge cells or basket cells are leukocytes that have been damaged during preparation of the peripheral blood.
Smudge cells Blood Film MedSchool
Laboratory professionals reporting differential results for patients suspected or known to have chronic lymphocytic. Smudge cells are ruptured chronic lymphocytic leukemia (cll) cells appearing on the blood smears of cll patients. Smudge cells or basket cells are leukocytes that have been damaged during preparation of the peripheral blood.
Laboratory Professionals Reporting Differential Results For Patients Suspected Or Known To Have Chronic Lymphocytic.
Smudge cells or basket cells are leukocytes that have been damaged during preparation of the peripheral blood. Smudge cells are ruptured chronic lymphocytic leukemia (cll) cells appearing on the blood smears of cll patients.







