What Is The Recovery Time For A Broken Tibia - In most cases, the recovery time for a fractured tibia is six to 10 weeks, but recovery time will. Treatment options for a tibial fracture will. Can a broken tibia heal without surgery? The complexity and severity of the tibia fracture significantly. In the table below, i summarize the usual recovery time for various stages after a. Depending on what type of fracture you have (and any other injuries you experienced), you’ll.
Depending on what type of fracture you have (and any other injuries you experienced), you’ll. The complexity and severity of the tibia fracture significantly. In most cases, the recovery time for a fractured tibia is six to 10 weeks, but recovery time will. Can a broken tibia heal without surgery? In the table below, i summarize the usual recovery time for various stages after a. Treatment options for a tibial fracture will.
Can a broken tibia heal without surgery? Treatment options for a tibial fracture will. The complexity and severity of the tibia fracture significantly. In most cases, the recovery time for a fractured tibia is six to 10 weeks, but recovery time will. In the table below, i summarize the usual recovery time for various stages after a. Depending on what type of fracture you have (and any other injuries you experienced), you’ll.
Tibia Fracture Recovery [Infographic]
Treatment options for a tibial fracture will. The complexity and severity of the tibia fracture significantly. Depending on what type of fracture you have (and any other injuries you experienced), you’ll. Can a broken tibia heal without surgery? In the table below, i summarize the usual recovery time for various stages after a.
Tibia And Fibula Fracture Recovery Time
In the table below, i summarize the usual recovery time for various stages after a. The complexity and severity of the tibia fracture significantly. Can a broken tibia heal without surgery? Treatment options for a tibial fracture will. In most cases, the recovery time for a fractured tibia is six to 10 weeks, but recovery time will.
Tibial Plateau Fracture Recovery Time & Physical Therapy Tips
In the table below, i summarize the usual recovery time for various stages after a. In most cases, the recovery time for a fractured tibia is six to 10 weeks, but recovery time will. The complexity and severity of the tibia fracture significantly. Treatment options for a tibial fracture will. Depending on what type of fracture you have (and any.
Recovery Tibial Plateau Fracture Tibial Plateau Fractures Tibial Porn
Depending on what type of fracture you have (and any other injuries you experienced), you’ll. In the table below, i summarize the usual recovery time for various stages after a. In most cases, the recovery time for a fractured tibia is six to 10 weeks, but recovery time will. Treatment options for a tibial fracture will. Can a broken tibia.
️ Broken tibia and fibula healing time. What Is the Healing Time for a
The complexity and severity of the tibia fracture significantly. In the table below, i summarize the usual recovery time for various stages after a. Treatment options for a tibial fracture will. Can a broken tibia heal without surgery? In most cases, the recovery time for a fractured tibia is six to 10 weeks, but recovery time will.
😎 Broken tibia and fibula healing time. Tibia/Fibula Fracture Open
In most cases, the recovery time for a fractured tibia is six to 10 weeks, but recovery time will. In the table below, i summarize the usual recovery time for various stages after a. Can a broken tibia heal without surgery? Treatment options for a tibial fracture will. Depending on what type of fracture you have (and any other injuries.
Tibial Nail Recovery Time Nail Ftempo
In most cases, the recovery time for a fractured tibia is six to 10 weeks, but recovery time will. The complexity and severity of the tibia fracture significantly. Can a broken tibia heal without surgery? Depending on what type of fracture you have (and any other injuries you experienced), you’ll. Treatment options for a tibial fracture will.
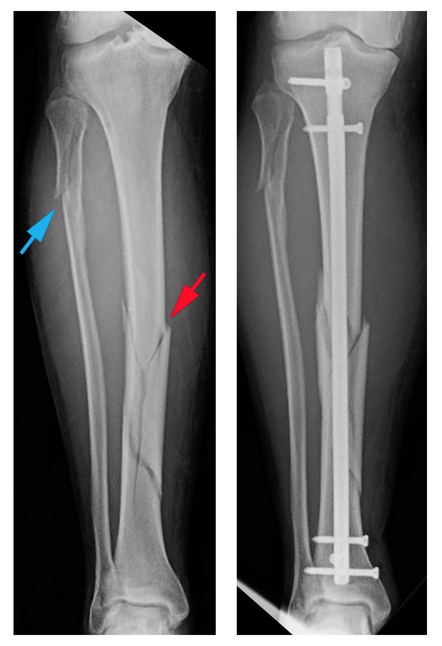
Tibia And Fibula Fracture Recovery Time
In most cases, the recovery time for a fractured tibia is six to 10 weeks, but recovery time will. Treatment options for a tibial fracture will. Depending on what type of fracture you have (and any other injuries you experienced), you’ll. The complexity and severity of the tibia fracture significantly. In the table below, i summarize the usual recovery time.
Tibia And Fibula Fracture Recovery Time
Treatment options for a tibial fracture will. In the table below, i summarize the usual recovery time for various stages after a. Can a broken tibia heal without surgery? The complexity and severity of the tibia fracture significantly. In most cases, the recovery time for a fractured tibia is six to 10 weeks, but recovery time will.
Tibia Fracture Recovery [Infographic]
In most cases, the recovery time for a fractured tibia is six to 10 weeks, but recovery time will. Treatment options for a tibial fracture will. The complexity and severity of the tibia fracture significantly. Can a broken tibia heal without surgery? In the table below, i summarize the usual recovery time for various stages after a.
Can A Broken Tibia Heal Without Surgery?
Depending on what type of fracture you have (and any other injuries you experienced), you’ll. Treatment options for a tibial fracture will. In the table below, i summarize the usual recovery time for various stages after a. The complexity and severity of the tibia fracture significantly.







![Tibia Fracture Recovery [Infographic]](https://www.findatopdoc.com/var/fatd/storage/images/_aliases/infographic_main/top-videos-and-slideshows/tibia-fracture-recovery/4521568-1-eng-US/Tibia-Fracture-Recovery.png)